Dr. Kapil Bakshi (Bakshi Orthopaedics – A Patient Education & Guidance Resource)
Orthopaedic Surgery: Sports Medicine: Prolotherapy: Trauma: Rehabilitation: Arthroscopy: Spine: MSK Ultrasound
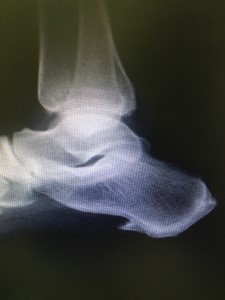
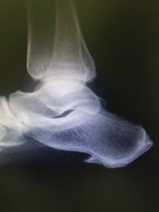
Calcaneal Spur
Δ